본문 바로가기
질병 감염병 정보

[법정 감염병] 결핵 증상 및 감염 경로, 예방 방법

by olove 2024. 12. 11.
[법정 감염병] 결핵 증상 및 감염 경로, 예방 방법
[법정 감염병] 결핵 증상 및 감염 경로, 예방 방법

    결핵은 전 세계적으로 많은 사람들에게 영향을 미치는 법정 감염병으로, 주로 폐를 감염시키는 세균성 질환입니다. 이 질병은 공기를 통해 전파되며, 조기 발견과 적절한 치료가 필수적입니다. 결핵의 증상, 감염 경로, 그리고 예방 방법에 대한 이해는 이 질환의 확산을 막고 건강을 지키는 데 중요한 역할을 합니다.

     

     

    [법정 감염병] 결핵 증상 및 감염 경로, 예방 방법

     

     


    1. 결핵 감염병 정의

    결핵은 결핵균(Mycobacterium tuberculosis)에 의해 발생하는 전염성 질환으로, 주로 폐를 감염시키지만 신장, 뼈, 뇌 등 다양한 장기에도 영향을 미칠 수 있습니다. 이 질병은 기침이나 재채기를 통해 공기 중으로 전파되며, 감염된 사람의 약 10%가 발병하게 됩니다. 결핵은 역사적으로 인류에게 큰 영향을 미쳐온 질환으로, 조기 진단과 적절한 치료가 매우 중요합니다.

     

     


    2. 결핵의 주요 특징

    병원체

    결핵의 병원체는 결핵균(Mycobacterium tuberculosis)입니다. 이 균은 주로 폐를 감염시키지만, 신장, 뼈, 뇌 등 다양한 장기에도 영향을 미칠 수 있습니다. 결핵균은 산소가 풍부한 환경에서 잘 자라며, 매우 느리게 증식하는 특성을 가지고 있습니다.

     

    병원소

    결핵의 주요 병원소는 감염된 사람입니다. 결핵균은 감염된 사람의 기침, 재채기, 말하기 등을 통해 공기 중으로 전파됩니다. 이로 인해 결핵은 주로 사람 간의 접촉을 통해 전파되는 전염병입니다.

     

    감염 경로

    결핵은 주로 공기를 통해 전파됩니다. 감염된 사람이 기침이나 재채기를 할 때, 결핵균이 포함된 미세한 비말이 공기 중으로 퍼져 다른 사람의 호흡기로 들어가 감염을 일으킵니다. 또한, 결핵균은 감염된 사람의 체액이나 조직을 통해서도 전파될 수 있습니다.

     

    잠복기

    결핵의 잠복기는 일반적으로 2주에서 12주 사이입니다. 그러나 일부 경우에는 잠복기가 더 길어질 수 있으며, 감염된 후에도 증상이 나타나지 않을 수 있습니다. 잠복 상태에서 결핵균은 체내에 존재하지만, 발병하지 않는 상태입니다.

     

    증상

    - 지속적인 기침 (3주 이상)

    - 체중 감소

    - 발열

    - 야간 발한

    - 피로감

    - 흉통

    이 외에도 결핵균이 감염된 부위에 따라 다양한 증상이 나타날 수 있습니다.

     

    치명률

    결핵의 치명률은 여러 요인에 따라 다르지만, 일반적으로 치료를 받지 않을 경우 약 50%에 이를 수 있습니다. 그러나 조기 진단과 적절한 치료를 받으면 치명률은 크게 감소합니다. 현재 결핵 치료에 사용되는 항생제의 효과로 인해 많은 환자들이 완치되고 있습니다.

     

    결핵은 전염성이 강한 질병이지만, 예방과 조기 치료를 통해 충분히 관리할 수 있습니다. 결핵에 대한 이해와 예방이 중요합니다.

     

    PDF 자료 다운로드

    (광고예정)

     

     


    3. 결핵의 진단과 치료

    진단 방법

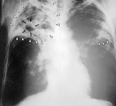
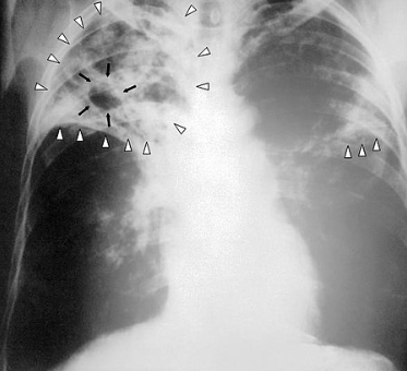
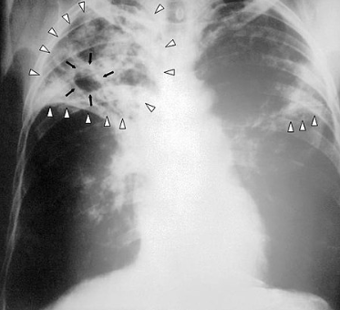
    • 흉부 X선 검사: 결핵이 폐에 영향을 미치는 경우, 흉부 X선 검사를 통해 폐의 이상을 확인할 수 있습니다. 이 검사는 결핵의 초기 징후를 발견하는 데 유용합니다.
    • 결핵균 배양 검사: 결핵균을 직접 배양하여 감염 여부를 확인하는 방법입니다. 이 검사는 정확하지만 시간이 걸릴 수 있습니다.
    •  Mantoux 검사 (피부 반응 검사): 결핵균에 대한 면역 반응을 확인하는 검사로, 피부에 결핵 항원을 주입한 후 48~72시간 후에 반응을 확인합니다.
    • 혈액 검사: 결핵균에 대한 면역 반응을 측정하는 혈액 검사가 있으며, 이 방법은 빠르고 정확한 결과를 제공합니다.

     

     

    치료 방법

    •  항결핵제 복합 요법: 결핵 치료는 일반적으로 4가지 항생제를 조합하여 6개월 이상 진행됩니다. 주요 약물로는 이소니아지드, 리팜핀, 피라진아미드, 에탐부톨 등이 있습니다.
    • 정기적인 모니터링: 치료 중에는 정기적으로 의사의 진료를 받아야 하며, 치료 효과를 확인하기 위해 흉부 X선 검사나 결핵균 배양 검사를 진행할 수 있습니다.
    • 약물 부작용 관리: 항결핵제는 부작용이 있을 수 있으므로, 환자는 약물 복용 중 발생하는 증상을 의사에게 즉시 보고해야 합니다.

     

    증상 신고 바로가기

    (광고예정)

     

     

     


    4. 환자 및 접촉자 관리

    환자 관리 방법

    결핵 환자의 관리는 치료의 효과를 극대화하고 전파를 방지하기 위해 매우 중요합니다. 주요 관리 방법은 다음과 같습니다:

     

    - 정기적인 진료 및 모니터링: 결핵 환자는 치료 기간 동안 정기적으로 의료기관을 방문하여 상태를 점검받아야 합니다. 이를 통해 치료의 효과를 확인하고, 필요한 경우 치료 계획을 조정할 수 있습니다.

     

    - 약물 복용 관리: 환자는 의사가 처방한 항결핵제를 정확히 복용해야 하며, 약물 복용을 잊지 않도록 알림 시스템을 활용하는 것이 좋습니다. 약물 복용 중 부작용이 발생할 경우 즉시 의료진에게 보고해야 합니다.

     

    - 생활 습관 개선: 환자는 충분한 휴식과 영양 섭취를 통해 면역력을 높여야 하며, 흡연과 음주를 피하는 것이 좋습니다.

     

    - 사회적 지원: 결핵 환자는 심리적 지원이 필요할 수 있으므로, 가족이나 친구의 지지를 받는 것이 중요합니다. 또한, 결핵에 대한 사회적 낙인을 줄이기 위한 교육과 홍보가 필요합니다.

     

    접촉자 관리 방법

    결핵 환자와 접촉한 사람들은 감염 여부를 확인하고, 필요한 경우 예방 조치를 취해야 합니다. 

     

    • 접촉자 검사: 결핵 환자와 밀접하게 접촉한 사람들은 즉시 검사를 받아야 합니다. 일반적으로 Mantoux 검사나 혈액 검사를 통해 결핵 감염 여부를 확인합니다.

     

    • 예방적 치료: 결핵 감염이 확인된 접촉자는 예방적 항결핵 치료를 받을 수 있습니다. 이는 결핵이 발병하는 것을 예방하는 데 도움을 줍니다.

     

    • 교육 및 정보 제공: 접촉자에게 결핵의 증상, 감염 경로, 예방 방법에 대한 교육을 제공하여 스스로 건강을 관리할 수 있도록 돕는 것이 중요합니다.

     

     


    5. 결핵 예방 바로가기

    (광고예정)

     

     

    • BCG 예방접종

    - 신생아 예방접종: 결핵 예방을 위해 생후 1개월 이내에 모든 신생아에게 BCG(결핵 예방 접종)를 권장합니다. 이 접종은 소아에게 발생할 수 있는 중증 결핵을 예방하는 데 효과적입니다. 그러나 BCG 접종이 평생 동안 결핵을 완전히 예방하는 것은 아니므로, 결핵 의심 증상이 나타나면 즉시 검사를 받아야 합니다.

     

    • 개인 위생 수칙 준수

    - 기침 예절: 결핵균은 기침이나 재채기를 통해 공기 중으로 퍼지므로, 기침할 때는 손수건이나 팔꿈치로 입을 가리는 것이 중요합니다.

    - 환기: 실내 공기를 자주 환기시켜 결핵균의 농도를 낮추는 것이 필요합니다. 특히, 결핵 환자가 있는 공간에서는 더욱 철저한 환기가 요구됩니다.

     

    • 면역력 강화

    - 건강한 생활 습관: 균형 잡힌 식사, 규칙적인 운동, 충분한 수면을 통해 면역력을 높이는 것이 중요합니다. 면역력이 약해지면 결핵에 감염될 위험이 증가합니다.

     

    • 조기 발견 및 치료

    - 정기적인 건강 검진: 결핵의 조기 발견을 위해 정기적으로 건강 검진을 받는 것이 중요합니다. 특히, 기침이 2주 이상 지속되거나 체중 감소, 발열 등의 증상이 나타날 경우 즉시 검사를 받아야 합니다.

     

    • 사회적 교육 및 홍보

    - 결핵에 대한 인식 제고: 결핵 예방을 위한 교육과 홍보 활동을 통해 지역 사회의 결핵에 대한 인식을 높이는 것이 필요합니다. 결핵 예방의 날(3월 24일)을 기념하여 다양한 행사와 교육 프로그램을 실시하여 결핵에 대한 경각심을 고취할 수 있습니다.

     

     


     

    결핵은 전염성이 강한 질병으로, 조기 발견과 예방이 매우 중요합니다. 개인의 위생 관리와 면역력 강화를 통해 결핵 감염 위험을 줄일 수 있으며, 사회적 인식 제고와 정기적인 검진이 필수적입니다. 결핵 예방을 위한 지속적인 노력은 건강한 사회를 만드는 데 기여할 것입니다.